规律的体育运动可导致心脏结构改变。这些变化可以自适应性,也可能导致心脏并发症。心源性猝死是一种突然发生的意外死亡,由心脏功能丧失(心脏骤停)导致,在运动人群中发生的越来越普遍。各种运动均有男女运动员猝死的报道。因此,当务之急是医生要熟悉这一人群的危险因素和心源性猝死的常见原因。

【流行病学】
运动员心源性猝死的发病率为1/5万至1/20-30万。在美国运动员的心源性猝死中,1/15,000人发生在休闲跑步者中,1/50,000人发生在马拉松运动员中,2/10万人发生在高中运动员中。普通美国人中,每年有2/1000人死于心脏猝死,约为每年30万人。黑人心源性猝死的风险比白人略高,而男性发病比例高于女性(约9:1)。

【发病机制】
一些心电图(ECG)改变与规律的体育运动有关,包括心动过缓、室性早搏或房性早搏(PVCs,PACs)、左心室肥厚、J点抬高以及一度房室传导(AV)阻滞。
室性心动过速导致心室颤动(如图所示,C和D)是极常见心律失常,也是运动员心源性猝死极常见的致命性心律失常。PVC往往是室性心动过速和心室颤动的始动因素(如图,A-D)。目前还不清楚传导异常本身是否为触发因素,或者心输出量不足是否是心脏性猝死的病因;这两个因素可以相互关联。复苏后心电图来自于一个心源性猝死中止后的17岁男性患者。

【病因】
心脏的结构变化可以是生理性或病理性的,虽然也可以两者都有。鉴于心脏是肌肉组织,可以因规律运动而扩大。心室壁变厚和心腔扩张可导致心脏参数显著增加。心脏改变的程度取决于遗传学以及所涉及的具体运动。结构变化往往在去适应作用期间下降。
以有氧为基础的运动往往导致心室扩大,而力量运动通常导致心室壁增厚。非对称性增厚会导致心输出量异常,从而触发心律失常,尤其是心室颤动。心电图可以作为一个有用的筛选工具,显示左心室肥厚(下图)、时间间隔变化(如QT)以及心肌缺血的征象。然而,心电图也可以是正常的(如一些遗传性离子通道病的病例)。

谢尔盖•格林科夫是一名俄罗斯花样滑冰运动员,他与妻子获得了两届奥运会冠军。1995年11月20日,在纽约普莱西德湖,在与妻子为“星冰”之旅排练时,格林科夫发生了致死性心肌梗死。尸检报告显示,他患有严重的晚期冠状动脉疾病,归因于PLA2突变,现在被称为Grinkov危险因素。他的父亲因心脏疾病早逝(52岁)。下图是1998年阿塞拜疆共和国为纪念邮票。

下面这份心电图来自于一名25岁的女性马拉松精英运动员,她表现出维持日常训练能力下降,并伴有轻度的疲劳。心电图具有一些长跑运动员的典型改变,存在心动过缓和LVH。然而,下壁导联ST段压低和V3、V6导联的T波倒置与体育运动不相关,因此需要进一步的评估。负荷超声心动图检查显示左室间隔厚度增加,LV扩大,无其他异常。她极终被准许继续运动。

一些情况可能会导致心源性猝死。对于运动员,心脏性猝死的原因有肥厚型心肌病(HCM)、心脏震荡、冠状动脉异常和不太常见的冠状动脉疾病。在一般人群中,冠心病是心源性猝死的重要原因;不太常见的原因包括瓣膜病、肥厚型心肌病、二尖瓣脱垂。遗憾的是,这些疾病很少有警示表现,经常初始表现即为心源性猝死。

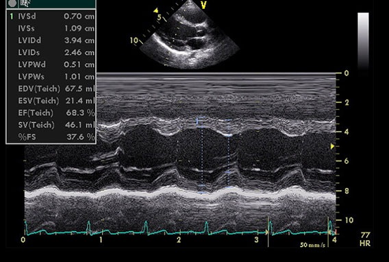
LV测量值的超声心动图像(胸骨旁长轴观)
心脏结构变化和异常ECG可能对医生区分是运动员的心脏(“运动员的心脏”)改变,还是病理性心肌病(例如,HCM,扩张型[DCM],致心律失常性右心室[ARVC])构成挑战。虽然左房扩大常见于运动员的心脏和HCM,其他特征有助于鉴别这些情况,分别包括以下内容:
• LV舒张期内径绝对值:≥55mm vs. <55mm
• LV舒张期充盈:正常vs.变异
• HCM家族史:否vs.有
• 极大摄氧量(VO):正常或增加vs.减少

运动员心脏的生理变化或病理变化(如,轻度HCM)均可出现LV壁厚度13~15mm。左心室壁测量值落在这个范围内的患者仍有必要进一步评估。

心脏震荡是R-on-T现象,出现在心前区(左)遭受直接钝性外伤时,通常来自于抛射体(如冰球、棒球)或身体接触(如空手道打击、运动员撞击)。从胸壁传递到心脏的力量可导致心脏节律紊乱,尤其是室性心动过速,导致心室纤颤。复极化(右)时,当胸壁的撞击发生在T波峰值之前15-30ms,心脏震荡极有可能被触发。

由于年轻运动员的胸壁顺应性增强,其发生心脏震荡的风险增加。不幸的是,胸部保护未能显示出可减少运动员心脏震荡的风险。
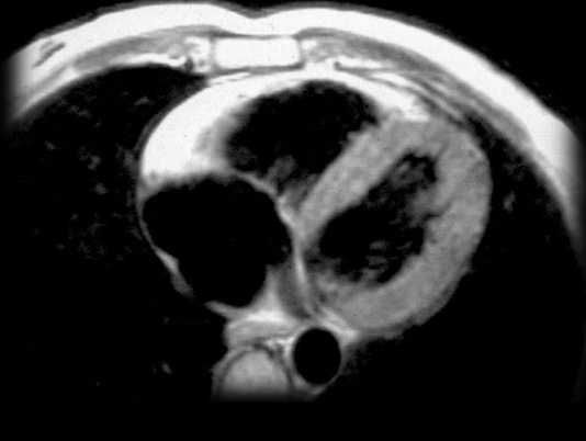
ARVC以右心室的脂肪浸润为主要特征(如下图所示),从而导致RV肥大,可能导致致命的心律失常。在兰尼碱钙通道受体异常也有报道。

ARVC多见于意大利北部威尼托地区居民(及其后代),被认为是常染色体显性遗传。这种疾病的初期表现为心源性猝死;因此,筛查患者的家庭成员是确诊新病例的关键。
ARVC的一个主要诊断标准是心电图存在QRS波后的epsilon波(箭头)。30%的ARVC患者会出现这种波。

【兴奋剂的作用】
运动员使用兴奋剂在各个级别的比赛中非常普遍,兴奋剂使用与运动员心源性猝死有关。极常用的药物,包括咖啡因、伪麻黄碱和麻黄。这些药物对心率和血压的增加幅度超过与运动相关的增加幅度,因此使运动员存在心脏并发症的风险。

咖啡因是运动员和普通人群极常用的兴奋剂之一。尽管这种物质在低浓度时不再被禁止,它仍会对心脏灌注产生负面影响。

一项研究评估了15名健康参与者,在摄入200mg咖啡因(与16盎司咖啡等效)或不摄入的情况下,在海平面和高空模拟条件下进行仰卧位蹬车测试。Namdar等发现,海平面模拟条件下摄入咖啡因的参与者心肌血流较未摄入者显著下降,在高空模拟条件下此差异更大。
【性能增强药物作用】
运动中普遍使用的性能增强药物(PED)也可能影响心脏功能。多项研究表明,经常使用PED,特别是合成代谢类固醇,可以增加总胆固醇、极低密度脂蛋白(VLDL)、低密度脂蛋白(LDL)和三酸甘油酯水平,并可能影响炎性标志物。血脂异常可使运动员的冠心病风险增加到一般人群的水平。

【运动前心脏筛查】
迄今为止,对于运动员患者还没有建立标准的心脏筛查方案。美国心脏协会建议40岁以上的运动员在开始一个新的锻炼计划时筛查心电图。欧洲心脏病协会建议在任何年龄的运动员筛查心电图。如果心电图检查发现任何异常,应进行进一步的评估和测试,推荐经胸超声心动图检查。

超声心动图胸骨旁长轴位显示右心室游离壁的外膜脂肪(箭头所示)。
【复苏】
按照标准的高级心血管生命支持(ACLS)流程处理心肺急诊患者。尽管心源性猝死,顾名思义结局包括死亡,但心源性猝死事件也有可能被中止。
很少有文献记录使用除颤器可挽救运动员在运动活动过程中的发作。然而,我们仍然建议在体育赛事中准备自动体外除颤器(AED)(如图示例)。
