武汉亚洲心脏病医院

武汉亚洲心脏病医院

科室动态

亚心医院首例实施逆向导丝技术治疗冠脉CTO病变

浏览次数:
字号:+-14

冠状动脉慢性完全闭塞病变CTO通常是指闭塞时间大于3个月的冠状动脉完全闭塞病变与非闭塞病变相比,慢性完全闭塞病变介入治疗的手术成功率低,并发症、再狭窄和再闭塞发生率高,是目前冠脉介入治疗极为疑难的病变。由于血管腔完全堵塞,常规的导引钢丝操作技术常难以顺利通过病变,随着经验的积累、技术的更新和介入治疗器械的进步,特别是近年逆向导丝技术的发明和应用,使许多原本通过正向方法不可能取得成功的病变有了被开通的可能。

逆向导丝技术技术难度大,导丝操控非常复杂、手术风险大,对术者的经验和技术有很高的要求。挑战处理CTO病变被形容为“悬崖上的舞蹈”。

近日,我院苏晞、宋丹教授等独立成功实施了首例以逆向导引钢丝开通慢性完全闭塞(CTO)病变的经皮冠脉介入治疗术(PCI)(见图),术后患者康复效果良好。该手术为治疗我院冠心病患者开辟了新的途径,填补了我院独立在逆向导丝技术攻克CTO病变上的空白

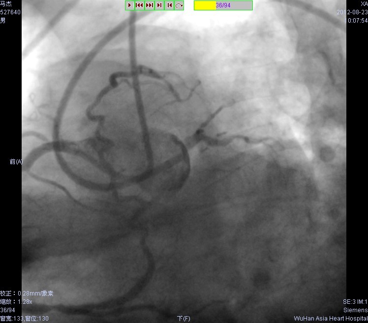
逆向导丝打通前降支闭塞段后植入支架,前降支血流通畅

经右冠状动脉-前降支侧支逆向导丝打通前降支闭塞

前降支近段闭塞,双向造影显示右冠侧支供血

 

 

    逆向PCI技术于2005年在国外首先开始应用,近年我国只有少数几个大的心血管诊疗中心能够施行此项手术。CTO逆向导丝介入技术的成功,使我院的冠脉介入诊疗技术达到了国内领先水平。

相关科室 | 相关医生 | 相关文章 | 相关咨询 | 相关视频 | 相关疾病

相关专家

< >

相关疾病

冠心病

冠心病是一种最常见的心脏病,是指因冠状动脉狭窄、供血不足而引起的心肌机能障碍和(或)器质性病变,故又称缺血性心脏病(IHD)。 症状表现胸腔中央发生一种压榨性的疼痛,…